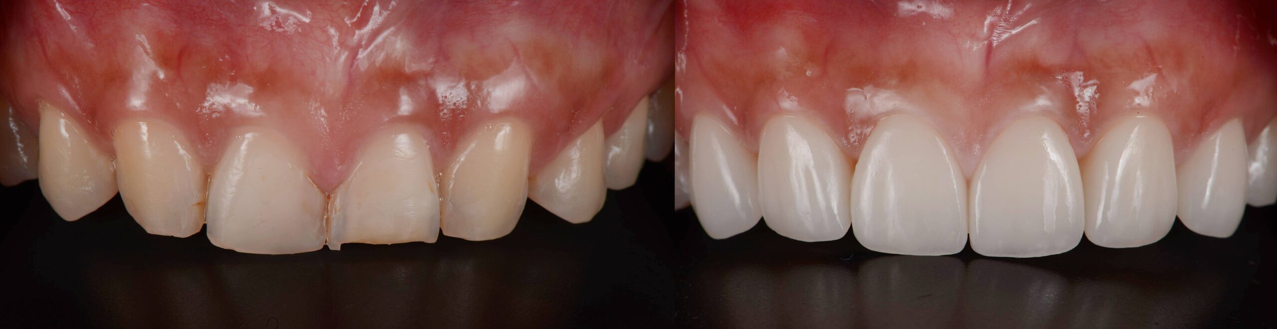
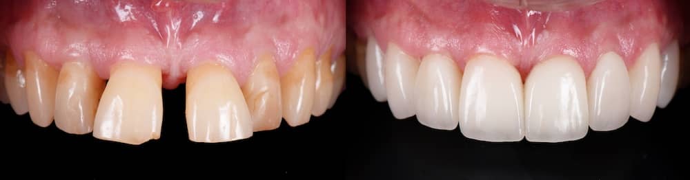
Composite bonding offers patients a ‘one-and-done’ solution to repairing teeth that are chipped, cracked, blemished or even, misshapen or misaligned.
Want to know more about cosmetic dental bonding in Earls Court? Read on to find out.
Before you decide to transform your smile, it’s important to know that two main techniques fall under the umbrella of composite bonding. They are direct and indirect treatments.
As the name suggests, direct bonding is applied directly to the teeth at our dental practice using a tooth-coloured resin-like material. In fact, it’s the same material that we use for our white fillings. The teeth are prepared, and the material is mixed, applied, hardened and finished in just one sitting.

This simple process not only delivers an instant smile transformation but also acts as a protective barrier for the tooth. It’s ideal for those seeking a cost-effective solution for unsightly blemishes, cracks or chips. In addition, direct composite bonding in Earls Court can alter the shape and colour of teeth while also closing any minor tooth gaps like diastemas.

In contrast, indirect bonding consists of custom-made composite laminates that are crafted in a laboratory setting. These are placed onto the teeth and secured in position with adhesive to deliver similar results.
While custom-composite laminates are more expensive than an application of bonding material, they are not as costly as a veneer made from porcelain. The advantages of indirect composites are that they are predictable and precise with a longer shelf-life (5-7 years compared to 3-5 years for direct bonding).

Essentially, indirect composite laminates provide an affordable solution somewhere between direct tooth bonding and porcelain veneers.

Composite dental bonding here in Earls Court is a great way of changing the look, shape or structure of a smile, particularly when you’re on a budget. Whichever option you choose, our highly skilled team will work with you to ensure that all the right boxes are ticked in terms of functionality and aesthetics, leaving you with a confidence-boosting smile you can be proud of.
Are you ready to ring in the changes?
Get in touch with Predent on 020 7373 1022 and book your smile consultation today!