Earls Court patients can benefit from beautifully crafted porcelain veneers designed to bring out the best in your smile.
Want to know more about these life-changing durable solutions? Book your smile consultation on 020 7373 1022 and let us show you want we can do for you.

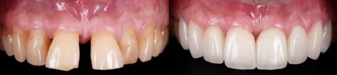
Just as dental implants are to missing teeth, dental veneers represent the gold standard for making over chipped or broken teeth. They provide an instant transformation that can last for many years.
As the name suggests, tooth veneers are thin, tooth-shaped shells of dental porcelain that are custom-made to fit onto the front surface of the tooth or teeth. When applied, they cover up the old tooth, effectively becoming the new tooth’s surface. Because our porcelain tooth veneers are exquisitely crafted and resistant to staining, they represent a flawless, durable and long-lasting solution, allowing you to wear your smile with pride.

When patients opt for porcelain veneers at Predent, they represent the ultimate in the ultra-thin cosmetic design, creating a lifelike appearance that flawlessly fits within an existing smile line. Because they’re ultra-thin, very little (if any) tooth preparation is required. Each veneer is custom-made using the latest layering technology, so they’re among the most lifelike and strongest designs on the market today.
In just 2-3 dental visits, patients can expect a brand new, confidence-boosting smile that they can be proud to show off.
Here’s how the process works:
When choosing dental veneers at Predent, we want you to know that you’re in trusted and highly capable hands. Our team are highly skilled in transforming smiles and with a keen eye for detail, we’ll ensure that you get the beautiful and elegant look you deserve.
If your current smile is getting you down, talk to us about our custom-designed tooth veneers at our Earls Court dental practice and let us show you just what a true smile transformation really looks like.
Call 020 7373 1022 to book your consultation.